
【智慧齒迷思】剝牙可以瘦面?Jessie姑娘拆解3大「必剝」情況!❌ V面係假的? (2026)
「醫生,剝咗智慧齒係咪會瘦面?」 「我隻牙唔痛,係咪可以唔駛理佢?」 這是牙科診所最常接到的諮詢。坊間流傳不少

「醫生,剝咗智慧齒係咪會瘦面?」 「我隻牙唔痛,係咪可以唔駛理佢?」 這是牙科診所最常接到的諮詢。坊間流傳不少

2026 香港智慧齒全攻略:阻生分類、收費價錢與術後護理懶人包 智慧齒(Wisdom Teeth),醫學上稱為

智慧齒(Wisdom Teeth)發炎好痛,到底該不該拔? 智慧齒通常在 17 至 25 歲萌發,若生長空間不

選擇牙醫診所不用再盲目搜尋!我們的AI智能匹配系統,運用數據分析技術,結合搜尋行為與診所評價,為您推薦最合適的

2026 剝智慧齒術後護理指南:飲食清單、止痛秘訣與傷口修復全攻略 完成智慧齒手術後,真正的挑戰才剛開始。無論

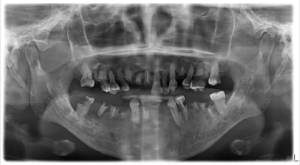
某天小美因牙痛及不能張口的問題而來就診,經臨床檢查及X光顯示,原來是下顎的阻生智慧齒作怪。因口腔空間不足,智慧齒不能順利長出。由於清潔難度增加,除了會導致牙肉發炎之外,也會引致前面大牙的局部牙周病及蛀牙問題。