「醫生,剝咗智慧齒係咪會瘦面?」 「我隻牙唔痛,係咪可以唔駛理佢?」
這是牙科診所最常接到的諮詢。坊間流傳不少關於智慧齒的偏方,甚至有愛美人士為了改善臉型而主動要求拔牙。然而,這些觀念在醫學上是否站得住腳?
本期 HK Dental Guide 邀請了 We牙sobi 的牙科姑娘 Jessie,從專業醫學角度拆解都市傳說,並提供正確的臨床判斷指引。
1. 醫學解密:剝智慧齒等於免費整容?
針對「拔牙瘦面」的說法,Jessie 姑娘在影片中已給出明確的臨床答案:不會。
要了解這一點,我們需要從面部解剖結構說起:
-
骨骼支撐: 臉型的寬度主要取決於 下顎骨 (Mandible) 的形狀與角度。智慧齒生長在牙槽骨的最末端,拔除它並不會改變下顎骨本身的物理線條。
-
肌肉厚度: 另一個影響臉型的因素是 咬肌 (Masseter Muscle) 的厚度。
有些患者覺得拔牙後臉變小了,通常是因為術後短期內進食減少(消瘦)或傷口消腫後的視覺落差,並非骨頭變小。單純為了瘦面而進行手術,不僅無法達到預期效果,更需承擔術後腫脹、下唇麻痺及損傷神經線的風險。

2. 臨床指引:這 3 種「阻生」情況必須處理
雖然拔牙不能瘦面,但如果經 X 光檢查確認為**「阻生智慧齒 (Impacted Wisdom Teeth)」**,且出現以下跡象,牙醫通常會建議盡快拔除,以防後患:
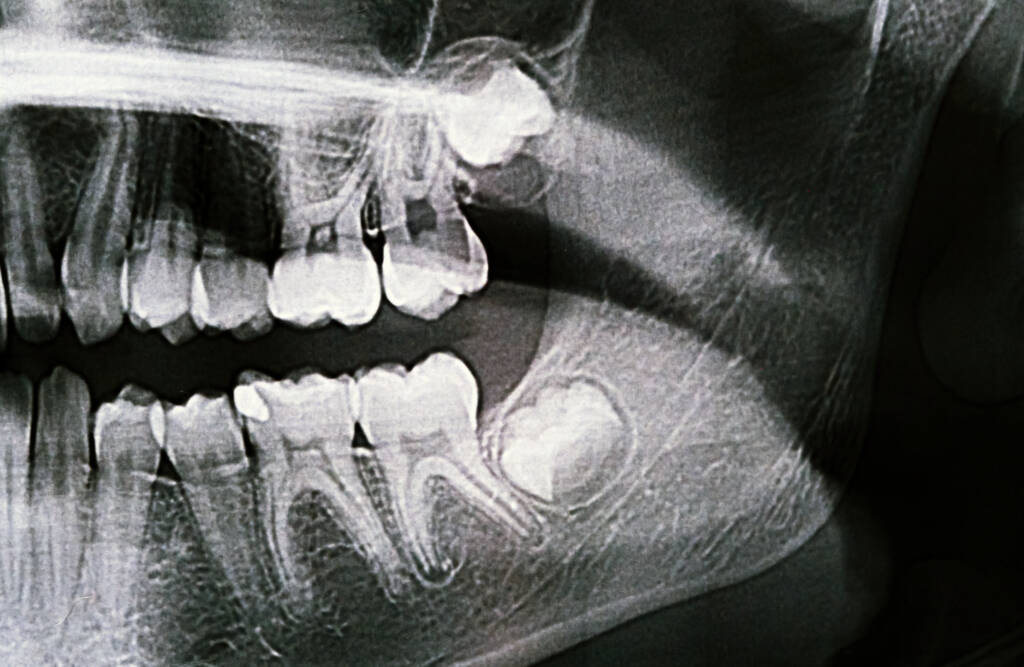
情況一:橫向阻生 (Horizontal Impaction)
這是臨床上最常見且棘手的情況。智慧齒呈「水平」方向生長,牙冠直接頂住前方的臼齒。這種結構就像一顆定時炸彈,長遠會持續推擠牙列,甚至導致劇烈疼痛及牙根吸收。
情況二:反覆發作的「冠周炎」
由於阻生智慧齒位置深入,牙刷難以觸及,食物殘渣極易堆積在牙肉覆蓋的「盲袋」中。細菌滋生會導致 牙冠周圍炎 (Pericoronitis),臨床症狀包括牙肉紅腫、張口困難、吞嚥疼痛甚至化膿。若不處理,炎症將反覆發作。
情況三:導致鄰牙不可逆的蛀蝕
這是 Jessie 特別強調的重點風險。傾斜生長的智慧齒會與前方的第二臼齒形成夾角,極易藏污納垢。往往當患者感到疼痛時,前方健康的第二臼齒已被蛀壞。由於該位置極難進行補牙或杜牙根,最終可能導致**「為了保命,兩顆牙齒必須同時拔除」**的慘痛後果。
臨床 X 光片示範:橫生智慧齒嚴重壓迫前方臼齒
3. 保留條件:甚麼情況下可以不拔?
並非所有智慧齒都需要拔除。根據臨床指引,若符合以下兩個條件,患者可以選擇與智慧齒「和平共處」:
-
完整萌出與咬合: 牙齒生長方向垂直正常,完全長出牙肉,且能與對咬牙齒形成正常的咬合功能。
-
深層骨埋伏: 牙齒完全埋藏在牙槽骨深處,沒有萌出跡象,X 光片顯示沒有壓迫神經線或形成病變囊腫。
4. 專家建議:黃金處理期
關於拔牙的最佳時機,牙醫界普遍建議在 18 至 25 歲 之間進行評估。
在此階段,智慧齒的牙根尚未完全發育成熟,與神經線的距離通常較遠,且年輕人的骨頭彈性較好。相比於中老年時期,此時拔除的手術難度較低,傷口癒合速度最快,術後併發症的風險也相對最小。
💰 擔心剝牙好貴? 既然知道這 3 種情況必須處理,下一步就是了解費用。 即睇:2026 香港剝智慧齒價錢攻略:普通科 vs 專科收費一覽
👇 懷疑智慧齒引起口腔問題?
如果您不確定自己的牙齒屬於哪種類型,或擔心潛在的蛀牙風險,切勿自行判斷。
歡迎使用我們的 AI 牙科助理,為您進行初步症狀分析及提供全港相關服務的收費參考:
👉 請點擊頁面右下角的【AI 牙科急救小幫手】圖示開始諮詢
